顯微鏡下的李斯特菌
顯微鏡下的李斯特菌|應用百科
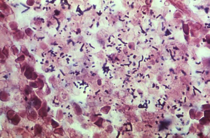
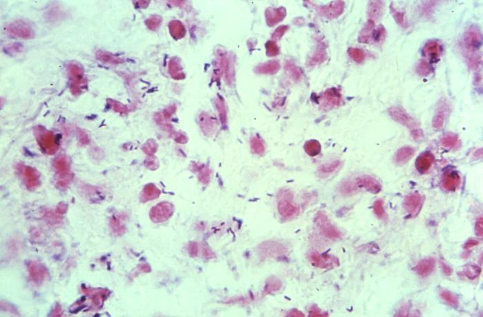
夏天來了,我們喜歡打開冰箱,拿個冰激凌吃,那叫***個"爽",你可知道,冰箱還藏著***個"殺手"名叫李斯特菌。李斯特菌是***種常見的食源性致病菌,容易引起腹瀉、發熱、肌肉痛等癥狀。如何快速找到李斯特菌,確定患者的病因由為重要。通過生物顯微鏡ML51-N,可觀察李斯特菌的結構,明確其顯微特征,從而達到檢測的目的。

生物顯微鏡下李斯特菌呈單個或短鏈狀

多數李斯特菌體***端較大,似棒狀

培養時間延長或粗糙型培養可呈絲狀菌體

生物顯微鏡ML51-N采用無窮遠消色差獨立校正光學系統,可清晰觀察菌體的內部結構,保證采集菌體圖像的清晰度和色彩還原性,為數字成像提供高質量和高性能的成像效果。
(文章來源于儀器網)
